
ミラドライによる治療KNOWLEDGE
ミセルクリニック福岡院で扱っているミラドライは、ワキガ・多汗症の新しい治療です。
お肌を切らずに、ワキガ・多汗症の原因を根本から解決できるのが特徴です。
ミラドライとその治療メカニズム

承認済みの、安全性の高い医療機器
ミラドライは、厳格な臨床試験及び病理学的研究結果に基づき、厚生労働省や米国の政府機関であるFDA(食品医薬品局)の承認を受けた医療機器です。
マイクロウェーブ照射で汗腺を破壊
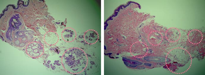
わきにはエクリン汗腺とアポクリン汗腺という2種類の汗腺があり、これらが汗ジミやワキガの原因となります。ミラドライはこれらの汗腺にマイクロウェーブ(電磁波)を照射し、汗腺を破壊して機能をなくしていきます。失われた汗腺は再生せず、ワキガのニオイやわき汗を抑え半永久的な効果が期待できます。
治療の流れFLOW

カウンセリング・診察
安全な治療のためにお客様の症状やご質問などをお伺いいたします。

照射準備
範囲を確認後、照射漏れのないように位置をマーキングし、治療箇所に局所麻酔を行います。

マイクロ波照射
熱ダメージを防ぐため冷却しながら照射します。両わき1〜2時間の短い治療で、鎮静のため照射部位をクーリングして終了です。
日常生活に支障のない治療
治療後の腫れが見られることはありますが、日常生活に支障が出ることはなく、その日に帰宅することができます。また、治療の効果は施術終了直後から実感していただけます。
当日はシャワーのみが望ましく、手術翌日から普段通りの生活や入浴が可能ですが、激しく体を使う運動などは避けていただくようお願いしております。

ミラドライのメカニズム
髪の毛より細い針で麻酔
ミラドライの施術で不安視されがちな麻酔ですが、当院は髪の毛より細い針で麻酔を用いることで、従来の注射型の麻酔より痛みが軽減されました。追加料金はございません。

麻酔の様子を動画でご紹介









わきのニオイ(ワキガ)が心配な方














